All-on-4 植牙牙根跟骨肉修復,一日全口重建



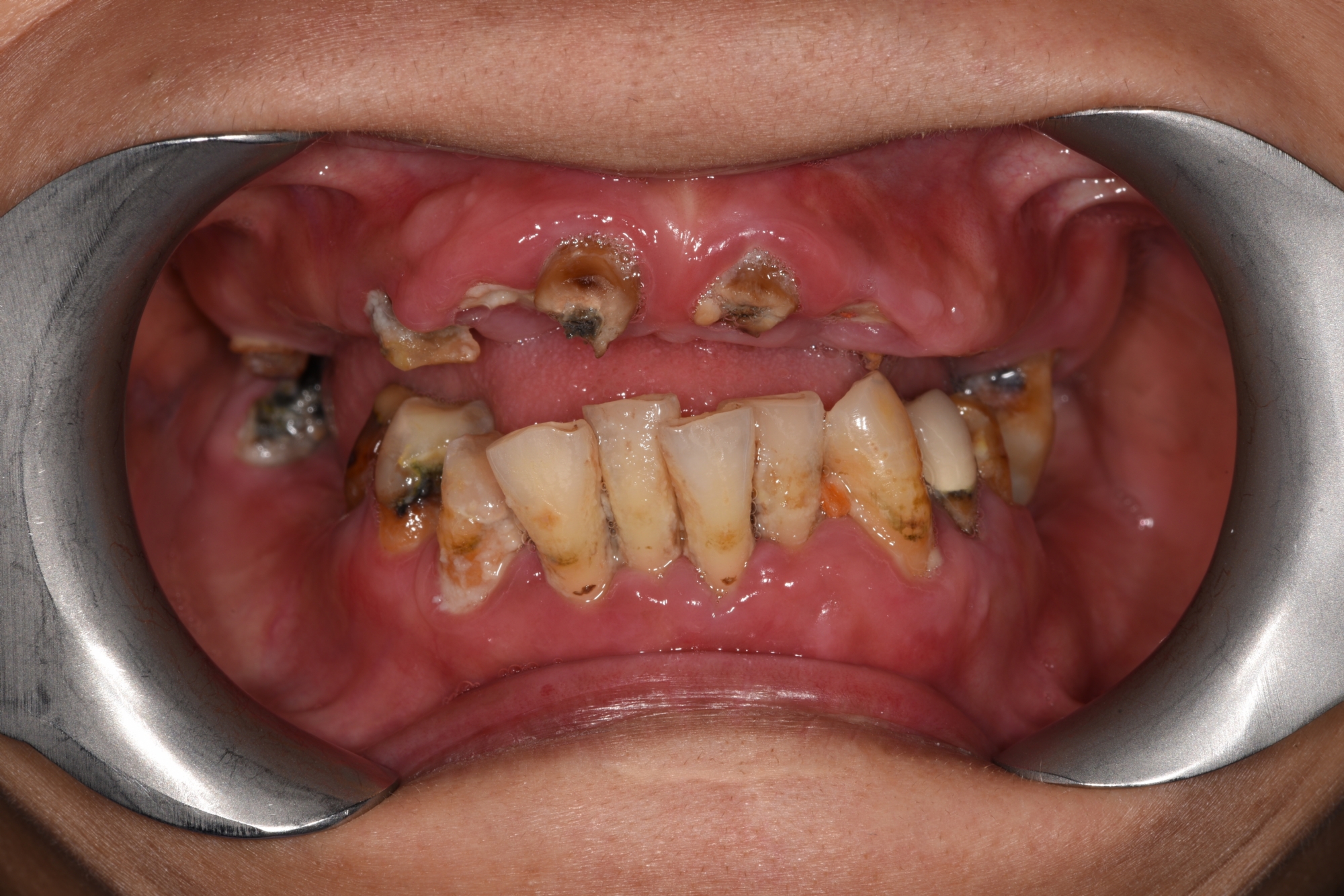
病友長期假牙有問題,某天突然掉落斷裂,經過一日全口重建固定式ALL On 4 假牙,同事朋友都沒發現她牙齒不見,只覺得隔天變得更美了
適應症:缺牙
禁忌症:病人高血壓糖尿病控制不好,身體有打過骨鬆藥物如福善美,須注意適應問題
優點:費用經濟實惠,治療時間短,手術通常只需一次
缺點:適合全口無牙或少牙(全口單邊少於4-5顆牙可留)
任何治療需要經過專業牙醫師評估檢查後,適合的病患才可施作



病友長期假牙有問題,某天突然掉落斷裂,經過一日全口重建固定式ALL On 4 假牙,同事朋友都沒發現她牙齒不見,只覺得隔天變得更美了
適應症:缺牙
禁忌症:病人高血壓糖尿病控制不好,身體有打過骨鬆藥物如福善美,須注意適應問題
優點:費用經濟實惠,治療時間短,手術通常只需一次
缺點:適合全口無牙或少牙(全口單邊少於4-5顆牙可留)
任何治療需要經過專業牙醫師評估檢查後,適合的病患才可施作