植牙案例|植牙牙根跟骨肉修復

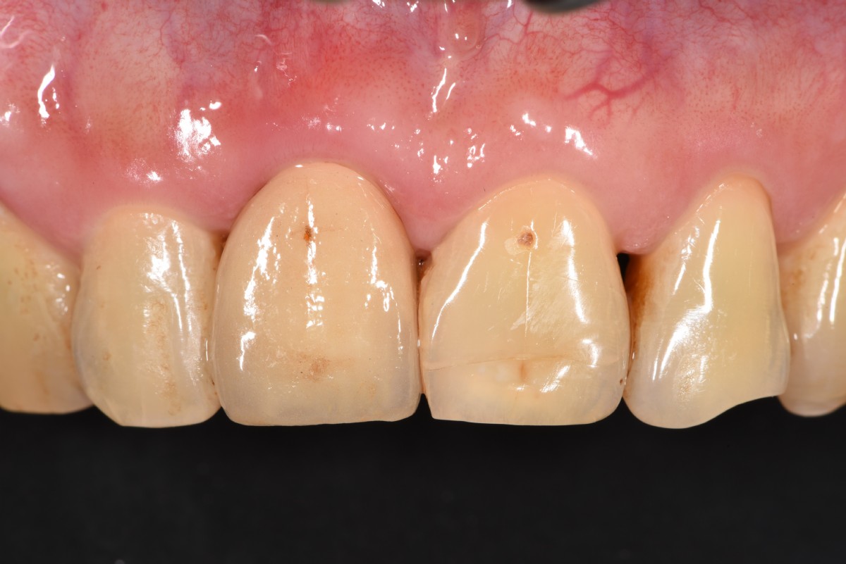
舊假牙斷裂


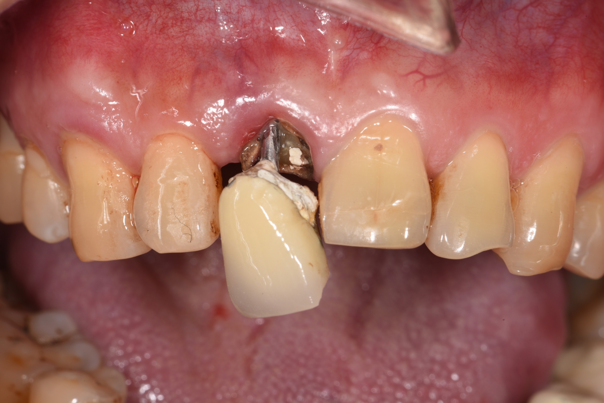
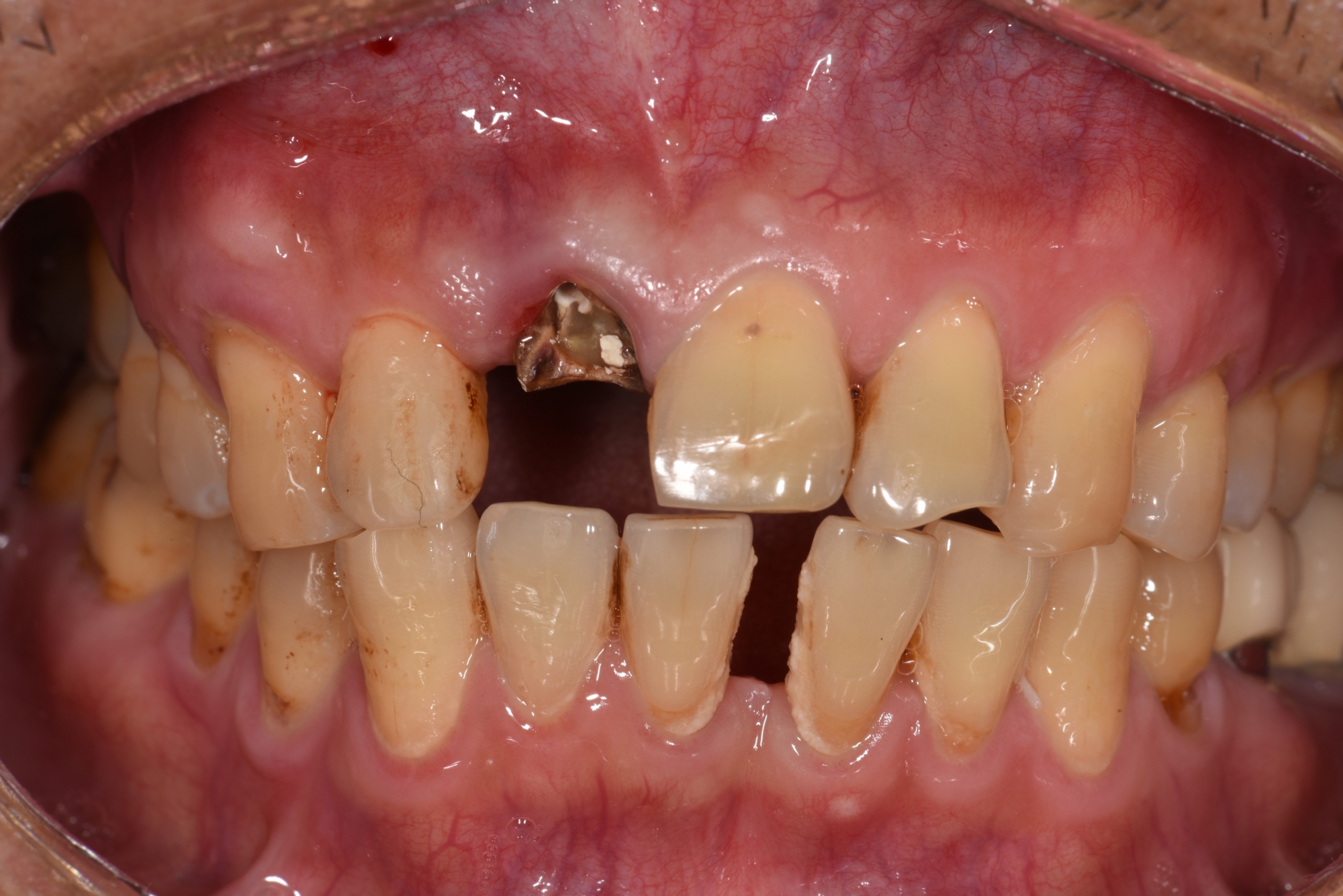
移除假牙及牙根

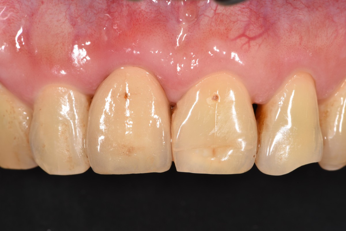
植牙後


適應症:缺牙
禁忌症:病人高血壓糖尿病控制不好,身體有打過骨鬆藥物如福善美
優點:不需修磨鄰牙
缺點:治療費用較高
任何治療需要經過專業牙醫師評估檢查後,適合的病患才可施作

舊假牙斷裂


移除假牙及牙根

植牙後


適應症:缺牙
禁忌症:病人高血壓糖尿病控制不好,身體有打過骨鬆藥物如福善美
優點:不需修磨鄰牙
缺點:治療費用較高
任何治療需要經過專業牙醫師評估檢查後,適合的病患才可施作