立即預約

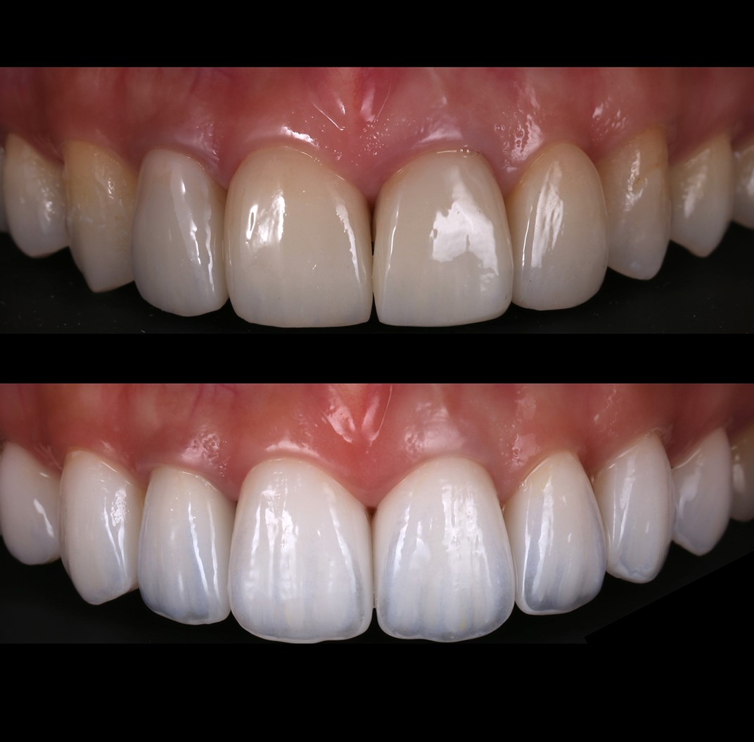
陶瓷貼片

 

適應症:牙齒齒色不均,填補物過多者
非適應症:健康的牙齒可透過其他方式改善顏色的患者,居家美白適合的患者
優點:時間短,耐用度持久
缺點:有費用略高
任何治療需要經過專業牙醫師評估檢查後,適合的病患才可施作

^